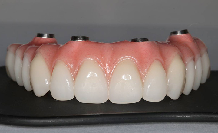
Временный адаптационный протез с опорой на 4-ре имплантата
р.
р.
Временный адаптационный протез с опорой на 4-ре имплантата. Протез зафиксирован на третий день после операции по удалению зубов и установки имплантатов.
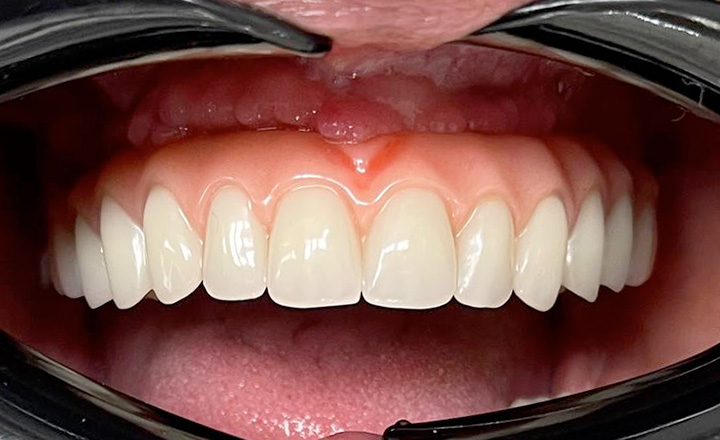
Постоянный несъемный протез с опорой на 5 имплантатов
р.
р.
Постоянный несъемный протез с опорой на 5 имплантатов. Установлен через 6 месяце после установки имплантатов и фиксации временного адаптационного протеза.
Полные съемные протезы верхней и нижней челюстей
р.
р.
Полные съемные протезы верхней и нижней челюстей. Есть показания против имплантации.